VIÊM DẠ DÀY MẠN TÍNH | 4 ĐIỀU CẦN BIẾT

Cập nhật 24/06/2023

3.1K

Tham vấn y khoa:

Chuyên mục:Tiêu hóa

Viêm dạ dày mạn tính là tình trạng các tế bào bảo vệ niêm mạc dạ dày đã bị tổn thương vĩnh viễn và có thể phát triển thành khối u ác tính nếu không điều trị kịp thời. Vì thế người bệnh cần thăm khám bác sĩ thường xuyên, tìm hiểu nguyên nhân để có phương pháp điều trị và chế độ sinh hoạt phù hợp.

1. Viêm dạ dày mạn tính loại A

Viêm dạ dày mạn tính loại A (hay còn gọi là viêm dạ dày tự miễn) ít phổ biến, biểu hiện là tình trạng viêm teo niêm mạc dạ dày chủ yếu tập trung ở thân và phình vị dạ dày.
Nguyên nhân gây bệnh chủ yếu do cơ thể sản sinh tế bào tự miễn, gây nên các tác động đến dạ dày như:

  • Tấn công vào các tế bào thành dạ dày khu vực bài tiết acid: Tế bào tự miễn lympho T có thể thúc đẩy sự tăng sinh của các tế bào cổ tuyến chưa trưởng thành biệt hóa thành tế bào ưa chrom. Các tế bào này có khả năng giải phóng histamin, kích thích tăng nồng độ gastrin. Ssự tăng sinh của nhóm tế bào này có thể gây nguy cơ hình thành khối u các tế bào ưa chrôm ở ruột trong viêm dạ dày tự miễn.
  • Ngăn cản yếu tố nội tại gắn với vitamin B12: Tế bào miễn dịch ngăn cản một glycoprotein gọi là Haptocorrin tại thành dạ dày gắn với vitamin B12, vì vậy vitamin B12 sẽ bị phá hủy bởi trường pH thấp. Do đó gây thiếu vitamin B12 cấu trúc nên hồng cầu, dẫn đến thiếu máu.
Viêm dạ dày mạn tính loại A (hay còn gọi là viêm dạ dày tự miễn) khá hiếm gặp

Viêm dạ dày mạn tính loại A (hay còn gọi là viêm dạ dày tự miễn) khá hiếm gặp

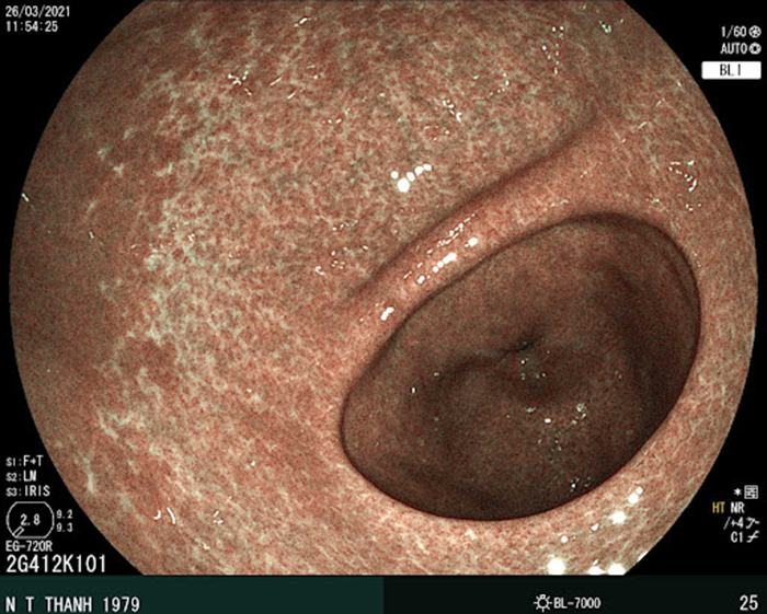
Biểu hiện của đau dạ dày mãn tính loại A là tình trạng viêm teo niêm mạc ở phần thân và phình vị dạ dày (Hình ảnh thực hiện tại MEDIPLUS)

Biểu hiện của đau dạ dày mãn tính loại A là tình trạng viêm teo niêm mạc ở phần thân và phình vị dạ dày (Hình ảnh thực hiện tại MEDIPLUS)

Viêm dạ dày mạn tính loại A thường không biểu hiện triệu chứng rõ ràng, tuy nhiên vẫn có thể có các dấu hiệu như:

  • Đau bụng trên, đầy hơi, chướng bụng.
  • Thường xuyên buồn nôn và nôn, dẫn đến cảm giác khó chịu, chán ăn.
  • Sụt cân mất kiểm soát.
  • Thường xuyên ợ nóng, ợ chua.
  • Xuất hiện tình trạng choáng váng, da xanh xao do thiếu máu.

Nếu bệnh không được phát hiện sớm và điều trị kịp thời thì có thể dẫn đến teo toàn bộ lớp niêm mạc dạ dày, thiếu máu hay thậm chí là ung thư dạ dày. Vì vậy người bệnh cần nhanh chóng đi thăm khám nếu xuất hiện triệu chứng hoặc chủ động tầm soát ung thư định kỳ.

Người bệnh có thể bị đau dạ dày mãn tính loại A nếu thường xuyên đau bụng, đầy hơi, choáng váng, da xanh xao

Người bệnh có thể bị đau dạ dày mãn tính loại A nếu thường xuyên đau bụng, đầy hơi, choáng váng, da xanh xao

Như vậy, viêm dạ dày mạn tính loại A gây ra chủ yếu do hoạt động tự miễn của cơ thể. Bên cạnh đó còn có bệnh viêm dạ dày do tác nhân bên ngoài, cụ thể là vi khuẩn Helicobacter Pylori và được gọi là viêm dạ dày mạn tính loại B.

2. Đau dạ dày mạn tính loại B

Đây là bệnh phổ biến nhất trong các ca viêm dạ dày mạn tính. Biểu hiện chủ yếu tập trung ở hang vị và có thể lan rộng ra, gây tổn thương ở nhiều vùng trên dạ dày.

Cơ chế gây bệnh chủ yếu do sự phát triển quá mức của vi khuẩn Helicobacter Pylori, vi khuẩn này khi bám vào thành dạ dày sẽ tiết ra nội độc tố endo cytotoxin. Từ đó gây tổn thương trực tiếp đến các tế bào niêm mạc, gây bong tróc, hoại tử lớp bảo vệ dạ dày, tạo điều kiện cho acid tấn công gây loét.

Đau dạ dày mãn tính do nhiễm khuẩn Helicobacter Pylori chủ yếu tập trung ở vùng hang vị và sẽ lan rộng nếu không điều trị sớm

Đau dạ dày mãn tính do nhiễm khuẩn Helicobacter Pylori chủ yếu tập trung ở vùng hang vị và sẽ lan rộng nếu không điều trị sớm

Vi khuẩn Helicobacter Pylori là nguyên nhân phổ biến gây ung thư dạ dày, vì vậy người bệnh nên nhanh chóng thăm khám bác sĩ nếu xuất hiện các triệu chứng sau:

  • Thường xuyên đau bụng, âm ỉ không dứt.
  • Ợ hơi, ợ nóng, buồn nôn không rõ nguyên nhân.
  • Có cảm giác chán ăn và sụt cân mất kiểm soát.

Theo bác sĩ Vũ Trường Khanh, bệnh viện Bạch Mai thì Việt Nam có khoảng 60-70% dân số bị nhiễm vi khuẩn HP – nguyên nhân chính gây ra bệnh viêm loét dạ dày. Nếu không điều trị sớm có thể dẫn tới xuất huyết, viêm teo niêm mạc dạ dày hay thậm chí là ung thư.

Ngoài ra bệnh rất khó phân biệt với các dạng viêm dạ dày mạn tính khác, cho nên người bệnh cần được thăm khám chuyên môn. Bác sĩ sẽ tiến hành nội soi và sinh thiết để chẩn đoán bệnh, sau đó kết hợp kê thuốc để bảo vệ dạ dày và điều trị vi khuẩn Hp.

Vi khuẩn Helicobacter Pylori gây viêm loét trên thành dạ dày, dễ dẫn tới xuất huyết, ung thư dạ dày

Vi khuẩn Helicobacter Pylori gây viêm loét trên thành dạ dày, dễ dẫn tới xuất huyết, ung thư dạ dày

Trên đây là các nguyên nhân và biểu hiện của viêm dạ dày mạn tính loại B. Bên cạnh đó còn có nguyên nhân gây bệnh phổ biến khác là do thuốc hay sinh hoạt không điều độ, bệnh sẽ được đề cập ở phần tiếp theo.

3. Viêm dạ dày mạn tính loại C

Hầu hết các trường hợp bệnh phổ biến với nam giới, đặc biệt khi người bệnh sinh hoạt không điều độ và thường xuyên sử dụng thuốc hay chất kích thích như bia, rượu, thuốc kháng viêm không steroid,…

Viêm dạ dày mạn tính loại C cũng có biểu hiện tương tự với các dạng viêm dạ dày mạn tính khác,  có thể hạn chế nguy cơ viêm dạ dày mãn tính loại C bằng cách:

  • Hạn chế uống rượu, bia
  • Dừng các thuốc có kháng viêm không steroid
Trà gừng chứa nhiều chất chống oxy hóa giúp người đau dạ dày mãn tính chống viêm, giảm thiểu nguy cơ ung thư dạ dày

Trà gừng chứa nhiều chất chống oxy hóa giúp người đau dạ dày mãn tính chống viêm, giảm thiểu nguy cơ ung thư dạ dày

Trên đây là các thông tin về viêm dạ dày mạn tính loại C, chủ yếu do sinh hoạt không điều độ và sử dụng chất kích thích gây nên. Ngoài ra còn một số dạng viêm dạ dày khác không thường gặp sẽ được đề cập đến ở phần tiếp theo.

4. Một số bệnh viêm dạ dày mãn tính khác

Thông thường, rất ít khi gặp các bệnh viêm dạ dày dưới đây và các chuyên gia vẫn chưa phát hiện ra nguyên nhân cụ thể gây bệnh, chẳng hạn như:

Viêm dạ dày phì đại khổng lồ

Các chuyên gia vẫn chưa rõ nguyên nhân gây viêm phì đại khổng lồ, tuy nhiên có giả thuyết rằng đây là một bệnh rối loạn tiêu hóa do di truyền. Bác sĩ thường phát hiện bệnh chủ yếu dựa vào kỹ thuật nội soi và sinh thiết mô.

Biểu hiện của bệnh là các nếp niêm mạc dạ dày trở nên phì đại to hơn và tạo thành các nếp gấp khổng lồ do sự tăng sinh quá mức của tế bào niêm mạc. Các nếp gấp giải phóng nhầy quá mức gây nguy cơ giảm protein huyết và sụt giảm sự tiết acid trong dạ dày.

Những người mắc bệnh này thường phải chịu các cơn đau dạ dày nghiêm trọng, thường xuyên buồn nôn, nôn mửa, sụt cân,…  Phương pháp điều trị có thể bao gồm  thuốc giảm chứng buồn nôn và giảm đau cho người bệnh và có thể cắt bỏ một phần dạ dày nếu bệnh quá nặng.

Viêm dạ dày phì đại khổng lồ là tình trạng các nếp gấp dạ dày trở nên lớn hơn do tế bào tăng sinh quá mức

Viêm dạ dày phì đại khổng lồ là tình trạng các nếp gấp dạ dày trở nên lớn hơn do tế bào tăng sinh quá mức

Viêm dạ dày ái toan

Viêm dạ dày ái toan thường đi kèm với các bệnh dị ứng như hen, viêm mũi dị ứng, xoang,… Hiện nay, bệnh chủ yếu chỉ được chẩn đoán dựa vào mô bệnh học thông qua lấy mảnh sinh thiết hoặc lấy dịch báng, cho nên cần người bệnh đến trực tiếp cơ sở y tế để xét nghiệm lâm sàng.

Biểu hiện của bệnh đau dạ dày mãn tính tương tự như các bệnh lý dạ dày khác là gây ra các cơn đau dữ dội, có thể dẫn tới xuất huyết, viêm loét,… tuy nhiên lại không thể điều trị chấm dứt. Bệnh dẫn đến hấp thu protein kém,  buồn nôn và nôn.

Bác sĩ sẽ căn cứ vào tình trạng bệnh lý của người bệnh mà đưa ra phác đồ điều trị phù hợp.

Căn cứ vào tình trạng cụ thể của người bệnh mà bác sĩ sẽ chỉ định loại thuốc phù hợp

Căn cứ vào tình trạng cụ thể của người bệnh mà bác sĩ sẽ chỉ định loại thuốc phù hợp

Tóm lại, “Viêm dạ dày mạn tính” cần được phát hiện sớm và điều trị  để tránh phát triển thành ung thư dạ dày. Bên cạnh đó người bệnh cần chủ động điều chỉnh chế độ sinh hoạt và ăn uống, thăm khám bác sĩ theo đúng lịch hẹn để tránh tình trạng bệnh trầm trọng hơn.

Nếu bạn còn phân vân hoặc có những câu hỏi khác về viêm dạ dày mãn tính nói riêng hay các triệu chứng đau dạ dày nói chung thì hãy liên hệ ngay tới Hotline 1900 3366 để các chuyên gia tư vấn nhanh và chính xác nhất.

*Bài viết chỉ mang tính chất tham khảo, không thay thế cho việc chẩn đoán và điều trị y khoa!

5/5 - (1 bình chọn)

    ĐĂNG KÝ NỘI SOI

    Đặt lịch nội soi tiêu hóa với Tiến sĩ Bác sĩ BV Bạch Mai tại MEDIPLUS




    Bài viết liên quan

    Hơi thở có mùi hôi từ dạ dày: 6 Nguyên nhân và 3 Cách chữa

    Hơi thở có mùi hôi từ dạ dày không chỉ gây mất tự tin trong giao tiếp mà còn là dấu hiệu cho thấy các…

    09 Th4, 2025
    1.1K

    Chuyên mục: Tiêu hóa

    Cắt u nhú thực quản bao nhiêu tiền? Ở đâu tốt?

    Cắt u nhú thực quản là một trong những thủ thuật phổ biến khi điều trị các bệnh lý liên quan đến đường tiêu hoá…

    11 Th4, 2025
    2.6K

    Chuyên mục: Tiêu hóa

    Trào ngược dạ dày nghẹn cổ họng có nguy hiểm không? 3 Cách chữa

    Trào ngược dạ dày nghẹn cổ họng là một trong những triệu chứng khá phổ biến của bệnh dày. Triệu chứng này nghẹn cổ họng…

    13 Th4, 2025
    1.2K

    Chuyên mục: Tiêu hóa

    Viêm thực quản uống thuốc gì? 4 Lời khuyên về phòng ngừa

    Viêm thực quản là tình trạng thực quản bị kích ứng hoặc viêm do nhiều nguyên nhân gây ra. Viêm thực quản có thể gây…

    11 Th4, 2025
    672

    Chuyên mục: Tiêu hóa

    Đăng ký khám

    Đặt hẹn ngay để nhận tư vấn và xếp lịch khám kịp thời

      DỊCH VỤ NỔI BẬT

      CÓ THỂ BẠN QUAN TÂM

      Chia sẻ

      facebook-messenger-icon
      Đặt khám