Tầm soát ung thư phổi phát hiện bệnh sớm, điều trị hiệu quả

Cập nhật 16/08/2023

1.3K

Riêng tư: DR OOI WEI SEONG

Tham vấn y khoa:Riêng tư: DR OOI WEI SEONG

Tác giả:MEDIPLUS

Chuyên mục:Nội ung bướu

Tầm soát ung thư phổi hay tầm soát ung thư nói chung là một hoạt động được các chuyên gia khuyến khích nên làm định kỳ. Vậy tại sao việc tầm soát ung thư hay ung thư phổi nói riêng lại quan trọng? Bài viết này sẽ chia sẻ kỹ hơn các thông tin tới bạn.

Tầm soát ung thư phổi là gì?

Tầm soát ung thư phổi là một hoạt động được diễn ra định kỳ nhằm mục đích phát hiện sớm các dấu hiệu, các tế bào bất thường có khả năng dẫn đến ung thư phổi. Tại các nước như Hàn Quốc, Nhật Bản, đã có những chiến dịch tầm soát được phát động để người dân hiểu được tầm quan trọng của việc tầm soát ung thư định kỳ. Tuy nhiên tại Việt Nam, việc tầm soát ung thư nói chung vẫn còn chưa phổ biến và chưa được chú trọng đúng mức.  Từ đó kịp thời có những phương án điều trị phù hợp vì ở giai đoạn sớm, ung thư phổi thường không có biểu hiện, dấu hiệu rõ ràng.

Tầm soát ung thư phổi

Tầm soát ung thư phổi là gì?

Tầm soát ung thư phổi nên được thực hiện sớm và đều đặn theo định kỳ khác nhau với mỗi lứa tuổi khác nhau. Ung thư phổi được chia làm 2 loại chính và có thể phát hiện sớm nếu tầm soát sớm:

Ung thư phổi tế bào nhỏ

Đây là loại ung thư được các chuyên gia đánh giá là nguy hiểm nhất trong các loại ung thư phổi. Bệnh nguy hiểm do tính dễ lây lan, chiếm tới 15% trên tổng các ca bệnh và tốc độ phát triển nhanh gấp đôi các loại ung thư phổi khác. Bên cạnh đó, ung thư phổi tế bào nhỏ có khả năng di căn cao, dễ ảnh hưởng đến các bộ phận khác.

Đặc điểm của loại bệnh này là các tế bào ung thư có kích thước rất nhỏ, khả năng xâm lấn, di căn nhanh và đặc biệt khó điều trị. Khi bệnh nhân được chẩn đoán bệnh này, tức là đều đã bước vào giai đoạn nặng của bệnh ung thư phổi, gây khó khăn trong việc điều trị và giảm tỷ lệ chữa trị thành công.

Ung thư phổi tế bào nhỏ

Ung thư phổi tế bào nhỏ

Ung thư phổi không tế bào nhỏ

Loại ung thư này có tốc độ phát triển chậm hơn loại 1, do vậy nếu được phát hiện sớm, tỷ lệ chữa khỏi và tỷ lệ sống của bệnh nhân sẽ cao hơn. 

Ung thư phổi không tế bào nhỏ được chia thành nhiều loại ung thư nhỏ hơn: ung thư biểu mô tế bào vảy, ung thư biểu mô tuyến, ung thư biểu mô tế bào lớn. Trong đó ung thư biểu mô tế bào lớn là bệnh khá hiếm gặp, chiếm chỉ khoảng 15%. 

Các phương pháp tầm soát ung thư phổi phổ biến hiện nay 

Tầm soát ung thư phổi hiện nay có nhiều phương pháp khác nhau, được bác sĩ chỉ định theo từng đối tượng, từng tình trạng khác nhau. 

Chụp X-quang phổi

Đây là phương pháp giúp phát hiện các khối u trong phổi qua hình ảnh chụp chiếu. Ưu điểm của phương pháp này là có thể nhìn rõ các khối u ở cả các kích thước rất nhỏ. Tuy nhiên do hình chụp X-quang chỉ thể hiện màu sắc xám trắng nên không thể dựa vào đó để kết luận u lành hay u ác tính. Do đó sẽ cần can thiệp các phương pháp khác để chẩn đoán chính xác hơn.

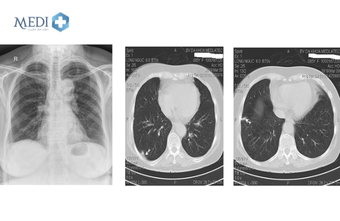
Chụp cắt lớp vi tính (CT) lồng ngực liều thấp

Chụp CT là phương pháp chẩn đoán hình ảnh thường được sử dụng khi chẩn đoán ung thư phổi. Với phương pháp chụp cắt lớp vi tính lồng ngực liều thấp, có những lợi ích sau:

  • Các nốt nhỏ < 10mm nghi ngờ là khối u phổi
  • Thời gian chụp nhanh hơn phương pháp bình thường, phù hợp với bệnh nhân có triệu chứng khó thở
  • Không cần tiêm thuốc cản quang nên phù hợp với những bệnh nhân có dị ứng với thuốc, không xâm lấn nên không gây đau đớn
  • Mức độ phơi nhiễm tia X ít hơn phương pháp chuẩn 90%
Chụp cắt lớp vi tính (CT) lồng ngực liều thấp

Chụp cắt lớp vi tính (CT) lồng ngực liều thấp

Phương pháp này được khuyến khích cho những đối tượng có nguy cơ mắc ung thư phổi cao, với tần suất mỗi năm một lần để kịp thời phát hiện các dấu hiệu bệnh từ sớm.

Nội soi phế quản

Nội soi phế quản là một thủ thuật cho phép bác sĩ dễ dàng quan sát bên trong phổi người bệnh. Phương pháp này được chỉ định với các trường hợp như: Phát hiện các dấu hiệu bất thường, nghi ngờ ung thư phổi qua hình ảnh chụp X-quang hoặc CT, ho ra máu, ho kéo dài không khỏi, có hạch cổ hoặc hạch thượng đòn, hít hoặc nghẹn các dị vật.

Nội soi phế quản

Nội soi phế quản

Khi thực hiện nội soi phế quản, bác sĩ có thể lấy được mẫu mô của các nốt u nghi ngờ là ung thư để thực hiện các xét nghiệm chẩn đoán chính xác. Để thực hiện phương pháp này, người bệnh cần nhịn ăn và nhịn uống ít nhất 4 đến 6 tiếng trước khi soi. Sau khi nội soi xong, nếu xuất hiện cảm giác đau ngực, khó thở, ho ra máu hoặc bất kỳ triệu chứng bất thường nào khác phải báo với bác sĩ ngay. 

Sinh thiết phổi xuyên thành ngực

Phương pháp sinh thiết phổi được thực hiện bằng cách chọc một kim sinh thiết xuyên qua da vào thành ngực, tiếp cận tới vị trí bị tổn thương hoặc có nghi ngờ để bấm lấy mô bệnh phẩm. Việc sinh thiết phổi sẽ giúp xác định chính xác tổn thương phổi là gì? Phục vụ việc lên phác đồ điều trị và các loại thuốc phù hợp với bệnh nhân. 

Sinh thiết phổi xuyên thành ngực

Sinh thiết phổi xuyên thành ngực

Phương pháp này cũng được bác sĩ chỉ định khi không xác định được bản chất của các vết thương, nốt u trong phổi.

Xét nghiệm tìm dấu ấn ung thư

Đây là phương pháp tìm kiếm dấu ấn sinh học ( hay còn gọi là chất chỉ điểm khối u) của bệnh ung thư phổi. Có 5 chất chỉ điểm phổ biến cho u phổi hiện tại là CEA, ProGRP, NSE, Cyfra 21-1 và SCC, các chất này sẽ được xét nghiệm qua mẫu máu của bệnh nhân. 

Phương pháp này giúp phát hiện nguy cơ ung thư phổi sớm và giúp hỗ trợ điều trị hiệu quả hơn. 

Vì sao nên khám tầm soát ung thư phổi

“ Ung thư phổi là căn bệnh nguy hiểm hàng đầu trên thế giới với hơn 2 triệu người mắc mới và hơn 1 triệu người tử vong mỗi năm. Tại Việt Nam, trong số các bệnh nhân nhập viện, có đến 62,5% không còn khả năng phẫu thuật.” – Theo Bộ Y tế

Tầm soát ung thư phổi cũng như các loại tầm soát ung thư nói chung là một hoạt động vô cùng cần thiết trong quá trình bảo vệ sức khoẻ con người từ sớm. Tuy vậy, do nhận thức của người dân Việt Nam chưa cao và tinh thần phòng chống bệnh còn thấp nên việc tầm soát bệnh nói chung và tầm soát ung thư phổi chưa được quan tâm đúng mức. Điều này khiến cho các ca bệnh ung thư phổi tại Việt Nam khi phát hiện đã ở những giai đoạn cuối, trầm trọng, thậm chí không còn khả năng chữa trị.

Tầm soát ung thư phổi sớm sẽ mang lại những lợi ích như:

  • Phát hiện các dấu hiệu bệnh từ sớm, các u bất thường từ khi kích thước còn rất nhỏ
  • Chẩn đoán và phát hiện sớm ung thư phổi giúp cho việc điều trị dễ dàng, mang lại hiệu quả cao hơn rất nhiều thậm chí có thể khỏi bệnh hoàn toàn, cải thiện chất lượng sống của bệnh nhân
  • Giảm mức độ bệnh tật

Dù y học đã phát triển và ngày càng có nhiều phương thức mới, hiện đại để hỗ trợ bệnh nhân trong việc điều trị bệnh ung thư phổi, tuy nhiên bệnh nhân sau 5 năm mắc bệnh có thể sống sót được chỉ khoảng 16,8%. Tương đương với 10 người bị ung thư phổi, sau 5 năm chỉ 1-2 người còn sống.

Ai nên tầm soát ung thư phổi

Cơ quan Y tế dự phòng Hoa Kỳ khuyến cáo những đối tượng sau cần chú ý đi tầm soát ung thư phổi:

  • Người hút thuốc nhiều, trên 20 bao thuốc 1 năm 
  • Mới bỏ hút thuốc trong vòng 15 năm
  • Người từng có tiền sử bệnh lý về phổi hoặc từng bị ung thư phổi
  • Người có gia đình mắc bệnh ung thư phổi và những người đã tiếp xúc với các chất độc hại trong thời gian dài
  • Nam giới trên 55 tuổi
Ai nên tầm soát ung thư phổi

Ai nên tầm soát ung thư phổi

Vậy khi nào nên đi tầm soát ung thư phổi:

  • Thuộc các đối tượng cần tầm soát trên
  • Ho kéo dài, ho ra máu
  • Đau tại một vùng của ngực
  • Thay đổi giọng nói
  • Mệt mỏi thường xuyên
  • Đau khi nuốt
  • Trên 55 tuổi

Chi phí tầm soát ung thư phổi

Một trong những nỗi lo ngại khiến cho người dân thờ ơ với việc tầm soát ung thư phổi là “mất tiền nhưng chưa chắc đã có bệnh”. Vậy chi phí tầm soát ung thư phổi là bao nhiêu? Có thực sự đắt hay không và có xứng đáng với kết quả mà chúng ta nhận được hay không?

Một điều chắc chắn, chi phí tầm soát ung thư phổi sẽ thấp hơn chi phí chữa trị căn bệnh này rất nhiều. Như đã đề cập ở phần trên bài viết, ung thư phổi không có dấu hiệu rõ ràng, khi được chẩn đoán mắc bệnh, hầu hết bệnh nhân đều đã ở những giai đoạn nặng, khó khăn trong việc điều trị và có thể nguy hiểm đến tính mạng. Như vậy có thể thấy, nếu để đến khi được chẩn đoán mắc bệnh mới đi chữa, chắc chắn chi phí điều trị sẽ rất cao do tính chất nguy hiểm và khó chữa của bệnh lý này.

Tầm soát ung thư phổi sớm sẽ giúp bạn tiết kiệm được nhiều chi phí hơn bạn tưởng. Tại MEDIPLUS, chi phí một số dịch vụ như sau

⇒  Chụp X-quang ngực thẳng: 150,000đ

⇒  Đo chức năng hô hấp: 250,000đ – 375,000đ

⇒  Chụp CLVT phổi liều thấp (không tiêm thuốc cản quang): 1,000,000đ

Và các dịch vụ khác sẽ được thiết kế theo yêu cầu khám của mỗi bệnh nhân hoặc theo chỉ định của bác sĩ. Như vậy có thể dự trù được chi phí tầm soát ung thư phổi không hề cao so với lợi ích mà việc tầm soát mang lại là phát hiện sớm, điều trị kịp thời và dứt bệnh hoàn toàn, mang lại cuộc sống bình thường, khoẻ mạnh cho người bệnh, người có nguy cơ mắc bệnh.

Dịch vụ tầm soát ung thử phổi tại MEDIPLUS

Bên cạnh chi phí, bạn cần cân nhắc kỹ các cơ sở uy tín, tránh tiết kiệm quá mức để nhận lại những kết quả sai sót, không chính xác, thậm chí gây ảnh hưởng đến sức khỏe trong quá trình thăm khám, làm các xét nghiệm.

Để đảm bảo an toàn và hiệu quả tốt nhất, bạn hãy lựa chọn những bệnh viện, phòng khám có tên tuổi, công khai giấy phép hoạt động, trang thiết bị máy móc minh bạch, hiện đại, đội ngũ bác sĩ, chuyên gia có tên tuổi trong ngành,… vừa để bảo vệ an toàn sức khỏe cho bản thân, vừa tránh lãng phí vào những dịch vụ rẻ tiền chất lượng kém.

Tiến sĩ .BS Chen Min Qi, Bác sĩ Can thiệp mạch hàng đầu tại Singapore thăm khám miễn phí cho khách hàng trong buổi tọa đàm chuyên môn tại MEDIPLUS.

Tiến sĩ .BS Chen Min Qi, Bác sĩ Can thiệp mạch hàng đầu tại Singapore thăm khám miễn phí cho khách hàng trong buổi tọa đàm chuyên môn tại MEDIPLUS.

Tại Tổ hợp Y tế MEDIPLUS chúng tôi cam kết đem đến cho bạn những trải nghiệm tuyệt vời nhất, chất lượng 5 sao như đi nghỉ dưỡng với không gian phòng khám sang trọng, sạch sẽ, đội ngũ chuyên gia bác sĩ hàng đầu từ các bệnh viện tuyến Trung Ương, cùng các thiết bị, máy móc được nhập khẩu đồng bộ từ Nhật Bản, Singapore, …

Như vậy, bài viết trên đã cung cấp cho bạn đầy đủ các thông tin về tầm soát ung thư phổi cũng như chi phí và lợi ích bạn sẽ có được khi thực hiện tầm soát sớm. Nếu có bất kỳ thắc mắc hay câu hỏi nào về tầm soát ung thư phổi, bạn hãy liên hệ ngay Hotline 1900 3366 để được tư vấn chi tiết và miễn phí. 

    ĐẶT LỊCH TẦM SOÁT UNG THƯ

    Đặt hẹn ngay để nhận tư vấn và xếp lịch khám kịp thời với chuyên gia.


    5/5 - (1 bình chọn)

      Đặt lịch khám bệnh

      Bài viết liên quan

      Đốt u tuyến giáp bằng sóng cao tần: 6 Ưu điểm, 2 nhược điểm

      Đốt u tuyến giáp bằng sóng cao tần là phương pháp điều trị tiên tiến dành cho u tuyến giáp lành tính. Kỹ thuật này…

      15 Th4, 2025
      1.3K

      Chuyên mục: Nội ung bướu

      Người bị u tuyến giáp có uống được Collagen không? 5 Lưu ý

      Collagen là dưỡng chất quan trọng giúp duy trì làn da căng mịn, xương khớp chắc khỏe. Tuy nhiên, nhiều người bị u tuyến giáp…

      24 Th2, 2025
      1.8K

      Chuyên mục: Nội ung bướu

      Vết mổ tuyến giáp bao lâu thì lành? 6 Lời khuyên

      Sau khi trải qua ca phẫu thuật, nhiều bệnh nhân thường băn khoăn không biết mổ tuyến giáp bao lâu thì lành? Đây là một…

      11 Th4, 2025
      1.7K

      Chuyên mục: Nội ung bướu

      U tuyến giáp có lây không? 2 cách điều trị 3 lưu ý

      U tuyến giáp là một bệnh lý khá phổ biến, không chỉ gây ảnh hưởng đến đời sống mà còn làm mất thẩm mỹ. Tuy…

      19 Th4, 2025
      475

      Chuyên mục: Nội ung bướu

      Đăng ký khám

      Đặt hẹn ngay để nhận tư vấn và xếp lịch khám kịp thời

        DỊCH VỤ NỔI BẬT

        CÓ THỂ BẠN QUAN TÂM

        Chia sẻ

        facebook-messenger-icon
        Đặt khám